Q Fever with Isolated Bone Marrow Involvement
DOI:
https://doi.org/10.24950/rspmi.2616Keywords:
Bone Marrow, Coxiella burnetii, Q Fever/complicationsAbstract
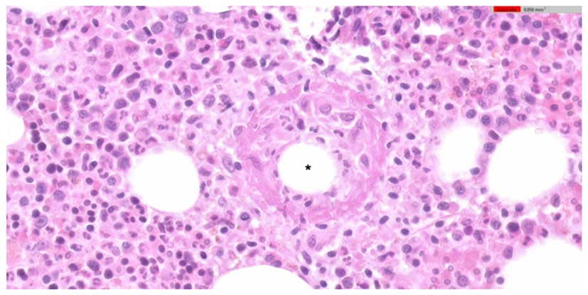
A 71-year-old man presented to the emergency department with 3 weeks of fever, asthenia and night sweats. The initial laboratory results showed mild anaemia, thrombocytopenia and elevated C-reactive protein, with normal liver enzymes. The remaining initial study was unremarkable. Due to haematologic abnormalities, a bone marrow biopsy was performed, revealing multiple ring epithelioid granulomas, consisting of a central lipid vacuole surrounded by epithelioid cells and some neutrophils. These findings, although not pathognomonic, favoured the diagnosis of Q fever with isolated bone marrow involvement. The diagnosis was later confirmed by seroconversion and exclusion of other causes for this histopathologic finding. The patient was treated with doxycycline for fourteen days with a good response and no evidence of the disease after six months.
Downloads
References
1. Eldin C, Melenotte C, Mediannikov O, Ghigo E, Million M, Edouard S, Mege JL, et al. From Q Fever to Coxiella burnetii Infection: a Paradigm Change. Clin Microbiol Rev. 2017;30:115-190. doi:10.1128/CMR.00045-16.
2. Maurin M, Raoult D. Q fever. Clin Microbiol Rev. 1999;12:518-553.
3. Anderson A, Bijlmer H, Fournier PE, Graves S, Hartzell J, Kersh GJ, et al. Diagnosis and management of Q fever - United States, 2013: recommendations from CDC and the Q Fever Working Group. MMWR Recomm Rep. 2013;62:1-30.
4. Alves J, Almeida F, Duro R, Ferraz R, Silva S, Sobrinho-Simoes J, et al. Presentation and diagnosis of acute Q fever in Portugal - A case series. IDCases. 2017;7:34-37. doi:10.1016/j.idcr.2016.11.002.
5. Palmela C, Badura R, Valadas E. Acute Q fever in Portugal. Epidemiological and clinical features of 32 hospitalized patients. Germs. 2012;2:43-59. doi:10.11599/germs.2012.1013.
6. Kreisel F. Doughnut ring-shaped epithelioid granulomas in the bone marrow of a patient with Q Fever. Int J Surg Pathol. 2007;15:172-3. doi:10.1177/1066896906299074.
7. Melenotte C, Protopopescu C, Million M, Edouard S, Carrieri MP, Eldin C, et al. Clinical Features and Complications of Coxiella burnetii Infections From the French National Reference Center for Q Fever. JAMA Netw Open. 2018;1:e181580. doi:10.1001/jamanetworkopen.2018.1580.
8. Fournier PE, Marrie TJ, Raoult D. Diagnosis of Q fever. J Clin Microbiol. 1998;36:1823-34. doi:10.1128/JCM.36.7.1823-1834.1998.
9. Lamps LW. Hepatic granulomas, with an emphasis on infectious causes. Adv Anat Pathol. 2008;15:309-18. doi:10.1097/PAP.0b013e31818a6477.
10. Raya Sanchez JM, Arguelles HA, Brito Barroso ML, Nieto LH. Bone marrow fibrin-ring (doughnut) granulomas and peripheral T-cell lymphoma: an exceptional association. Haematologica. 2001;86:112.
11. Bernstein M, Edmondson HA, Barbour BH. The liver lesion in Q fever. Clinical and pathologic features. Arch Intern Med. 1965;116:491-8.
12. Glazer E, Ejaz A, Coley CJ, Bednarek K, Theise ND. Fibrin ring granuloma in chronic hepatitis C: virus-related vasculitis and/or immune complex disease? Semin Liver Dis. 2007;27:227-30. doi:10.1055/s-2007-979473.
13. Wegdam-Blans MC, Kampschreur LM, Delsing CE, Bleeker-Rovers CP, Sprong T, van Kasteren ME, et al. Chronic Q fever: review of the literature and a proposal of new diagnostic criteria. J Infect. 2012;64:247-259. doi: 10.1016/j.jinf.2011.12.014.
14. Limonard GJ, Peters JB, Besselink R, Groot CA, Dekhuijzen PN, Vercoulen JH, et al. Persistence of impaired health status of Q fever patients 4 years after the first Dutch outbreak. Epidemiol Infect. 2016;144:1142-7. doi:10.1017/S0950268815002216.
15. van Roeden SE, van Houwelingen F, Donkers CM, Hogewoning SJ, de Lange MMA, van der Hoek W, et al. Exposure to Coxiella burnetii and risk of non-Hodgkin lymphoma: a retrospective population-based analysis in the Netherlands. Lancet Haematol. 2018;5:e211-e219. doi:10.1016/S2352-3026(18)30038-3.
Downloads
Published
How to Cite
Issue
Section
Categories
License
Copyright (c) 2026 Internal Medicine

This work is licensed under a Creative Commons Attribution 4.0 International License.
Copyright (c) 2023 Medicina Interna



